全站导航

微创除“疝”,让“串门”的胃“回家”

发布时间:2023.09.26浏览次数:2506

  烧心、呃逆(打嗝)、胃反酸、呕吐……你以为的“老胃病”或是“食管裂孔疝”——

  “这几天吃的稀饭蛮舒服,肚子没再疼,也不反酸、呕吐了……早知道只在肚子上打几个洞的手术,也不致于受这么长时间罪。”9月25日,荆门市人民医院胃肠外科·疝与腹壁外科病房内,王奶奶“食管裂孔疝”术后,两年多反复发作的呃逆(打嗝)、胃反酸、呕吐症状得到有效缓解,甚至完全消失了。

  科主任张小风、主治医师范金强在王奶奶出院前进行了最后一次查房,并叮嘱她适当活动、合理饮食。

反酸呕吐,胃“串门”形成“食管裂孔疝”

  65岁的王奶奶身体还算硬朗,两年前出现吃东西时吞咽不顺,饭后上腹部饱胀感、胸闷气短,继而出现呃逆(打嗝)、反酸、呕吐等症状,每次发作持续3-5天不等。

  开始她以为是胃不舒服,去药店买了对症的药,但是怎么吃都不见好,也去外院检查说是“胃食管反流病”,一段时间下来药物治疗效果同样不理想。最近2个月,呃逆(打嗝)、反酸、呕吐发作愈发频繁,遂到荆门市人民医院胃肠外科·疝与腹壁外科进一步诊治。

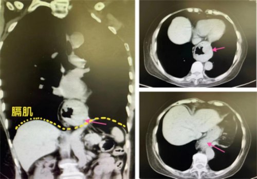
  “已经出现了比‘胃食管反流’更严重的吞咽困难、腹痛反酸、呕吐等症状,对症药物治疗效果又不理想,高度怀疑‘食管裂孔疝’!”荆门市人民医院胃肠外科·疝与腹壁外科范金强表示,CT影像能清晰看到王奶奶本该在腹腔的胃(部分组织)跑到了胸腔内,结合病史确诊为“食管裂孔疝”。

  范金强介绍,人体内存在着胸腔和腹腔两大腔隙,被一层膈肌所分隔。食管连接咽喉和胃,需要纵跨胸腹腔,并穿越膈肌上的一个天然孔道——“食管裂孔”。正常情况下,食管裂孔与食管大小匹配,刚好可容纳食管通过,由于受到先天或后天的某些因素影响,食管裂孔逐渐扩大,腹腔内的脏器或组织(主要是胃、网膜、结肠等)通过食管裂孔暂时或持续性进入胸腔,就形成了“食管裂孔疝”。

  “食管裂孔疝是导致胃食管反流病的明确病因之一,其中最常见的是烧心、反酸和吞咽困难,所以很多人都把它当做‘胃食管反流病’来治。”范金强表示,因部分胃跑到胸腔里去了,完全破坏了胃食管抗反流的生理结构,因此“食管裂孔疝”还有一别称——吃药治不好的“老胃病”。

  一般难治性“胃食管反流病”大概率合并“食管裂孔疝”,药物保守治疗又不能改善相关症状,则需要通过腹腔镜微创手术让“串门”的胃归位、修补食管裂孔才能解决问题。

微创除疝,腹部“打洞”让胃归位、补裂孔

   “入院后‘食管裂孔疝’诊断明确,有手术指征且无禁忌症,适时在全麻下行‘腹腔镜下食管裂孔疝修补术+胃底折叠术’。” 张小风、范金强组织科内讨论后,制订了有针对性的手术方案。当王奶奶及家属得知手术只在腹部留下几个不到1厘米的小孔就能完成,且四五天就可以出院时,手术治疗的意愿愈发强烈。

  9月20日,手术在科内讨论、医患沟通后的第二天随即开展。张小风、范金强手术团队通过腹腔镜探查发现,王奶奶的网膜与两侧腹壁广泛粘连,膈肌食管裂孔缺损约5×6cm,胃底及胃体大部、大网膜疝入胸腔。

  松解粘连、仔细剥离疝囊,将胃组织及其他疝内容物全部还纳回腹腔,缝合膈肌角缩小食管裂孔、放置生物补片并固定……随后,再行“胃底折叠术”加强抗反流手术效果及有效降低食管裂孔疝复发率。荆门市人民医院胃肠外科·疝与腹壁外科团队凭借精湛、娴熟的操作技巧,不到2小时便高质量地完成了手术。王奶奶术后第二天开心地说:“这两年吃饭就是受罪,以后终于可以安安心心的吃东西啦!”

  荆门市人民医院胃肠外科·疝与腹壁外科主任张小风介绍, “食管裂孔疝”中胃食管反流病的检出率可达40%-98%,两者虽均属一类常见的消化系统疾病,两种疾病相互交叉影响,前者的发病率正悄然上升,40岁以下患者占9%,50岁以上为38%,70岁以上则高达70%。

  “随着年纪增大,老年人自身的肌肉、韧带等支撑结构逐渐退化、变得薄弱,食管裂孔周围的结构也一样在退变,加上慢性咳嗽、便秘、前列腺增生等一些引起腹内压力升高的因素,容易导致食管裂孔扩大、进而发生裂孔疝。”张小风提醒,老年女性、肥胖人群更是罹患“食管裂孔疝”的高危群体。在日常生活中,老年朋友应尽量避免食用难以消化的肉食、避免暴饮暴食,便秘人群需要改善生活习惯或使用药物缓解,肥胖人群需要控制体重,前列腺增生患者积极口服药物或手术缓解排尿困难等,可大大减少老年人“食管裂孔疝”的发生。

  正所谓防微杜渐,对于那些长期反酸、烧心、嗳气、吞咽困难且反复发作、久治不愈的患者,特别是肥胖、老年以及之前做过胃或食管手术的人,除胃肠镜检查外,CT等检查确诊很有必要,及时修补食管裂孔部位,防止病情进一步发展,勿以“疝”小而不为!腹腔镜微创手术治疗食管裂孔疝是一种安全、有效的手术方式,经验丰富、技术成熟的胃肠外科·疝与腹壁外科团队不仅可以完全达到疝复位、食管裂孔重建以及抗反流的目的,同时还能减少并发症,有效地控制病情复发,提高患者生活质量。

微创除“疝”,让“串门”的胃“回家”2006.png  微创除“疝”,让“串门”的胃“回家”2008.png

▲胃肠外科·疝与腹壁外科主任张小风、主治医师范金强查房了解患者康复情况

微创除“疝”,让“串门”的胃“回家”2046.png

微创除“疝”,让“串门”的胃“回家”2082.png

微创除“疝”,让“串门”的胃“回家”2086.png

▲ct影像显示部分胃组织“跑”到了胸腔

微创除“疝”,让“串门”的胃“回家”2068.png

微创除“疝”,让“串门”的胃“回家”2080.png

▲食管裂孔疝示意图



微创除“疝”,让“串门”的胃“回家”2092.png

  范金强,荆门市人民医院胃肠外科·疝与腹壁外科主治医师,武汉大学外科学硕士,擅长胃肠道肿瘤的规范化治疗及肠瘘、肠梗阻的个体化治疗;对小儿外科常见病、各种疝(腹股沟疝、股疝、切口疝、造口旁疝、复发疝等)及普外科常见病的诊治方面积累了丰富的临床经验;曾在武汉同济医院小儿外科进修学习一年,在中华级、北大核心及统计源期刊发表学术论文数篇。电话:18707268150


微创除“疝”,让“串门”的胃“回家”2274.png

  张小风,主任医师,荆门市人民医院胃肠外科、肛肠科主任,硕士研究生。荆门市医学会微创外科分会副主任委员、荆门市医学会创伤外科分会常委、荆门市癌症防治中心执行委员会委员、湖北省胃肠肿瘤外科专家委员会委员、第一届ESCO肿瘤营养专委会委员、湖北省医师协会营养专家委员会委员、第二届ESCO-IO免疫治疗专家委员会委员。擅长胃肠道肿瘤的微创化治疗,尤其超低位直肠肿瘤保肛(ISR+NOSES)、GIST双镜联合手术、复杂型肛瘘、重度直肠黏膜脱垂、重度会阴撕裂伤肛门失禁后修复重建术等。主持参与湖北省自然科研项目1项,主持参与市科研项目5项,发表学术论文10余篇,参与主编学术专著2部,发明专利1项。2020年被评为“荆门好医生”。